logo
  • icon icon Facebook
  • icon icon Twitter
  • icon icon RSS
Español
  • English
Saltar al contenido

Menú

  • Presentación
    • ¿Quiénes somos?
    • Entidades colaboradoras
    • Reconocimientos
  • Equipo
    • Dirección
    • Investigadores sénior
    • Investigadores post-doctorales
    • Investigadores predoctorales
    • Técnicos de laboratorio
    • Técnicos de gestión
  • Investigación
    • Líneas de investigación
      • Mecanismos de recuperación mucosa y progresión a fibrosis en la enfermedad inflamatoria intestinal
      • Terapia antirretroviral: efectos adversos y comorbilidades
      • Identificación de nuevas dianas terapéuticas en la enfermedad hepática crónica
      • Estudio de la función mitocondrial-endotelial en las enfermedades metabólicas
      • Biológicos
    • Proyectos
      • En desarrollo
      • Finalizados
    • Artículos científicos
      • Artículos recientes
      • Artículos anteriores
    • Tesis doctorales
  • Novedades
  • Contacto
logo

Archivos mensuales: octubre 2018

Oct 16

Nuevo artículo

Nuevo artículo

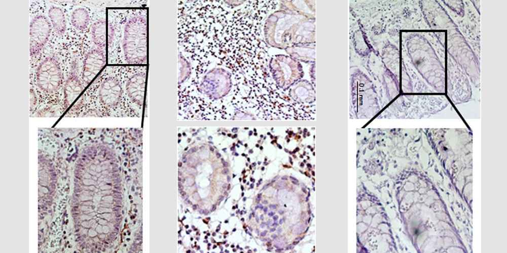
Mucosal Immunology recoge la última publicación de nuestra línea de investigación que trata la enfermedad inflamatoria intestinal.

admin Publicaciones enfermedad inflamatoria intestinal
Leer >>>

Localización y contacto

Facebook | Twitter

  • iconiconFacebook
  • iconiconTwitter
  • iconiconRSS
  • Inicio
  • Cookies
  • Contacto

© 2022 Av Blasco Ibáñez 15-17. 46010 València. España. Tel (+34) 96 386 46 24