logo
  • icon icon Facebook
  • icon icon Twitter
  • icon icon RSS
English
  • Español
Skip to content

Menu

  • Presentation
    • More about us
    • Collaborators
    • Achievements
  • Team
    • Director
    • Senior researchers
    • Postdoctoral researchers
    • Postgraduate researchers
    • Technicians
    • Project managers
  • Research
    • Areas
      • Mechanisms of mucosal recovery and progression to fibrosis in inflammatory bowel disease
      • Antiretroviral therapy: adverse effects and co-morbidities
      • Identification of new therapeutic targets in chronic liver disease
      • Mitochondrial-endothelial function in metabolic diseases
      • Biologics
      • Cellular plasticity and precision oncology in digestive cancer
    • Projects
      • Underway
      • Completed
    • Publications
      • Recent articles
      • Previous articles
    • Doctoral theses
  • News
  • Contact
logo

Monthly Archives: October 2018

Oct 16

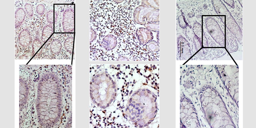
New article

New article

Results of our line of research on inflammatory bowel disease have been published in Mucosal Immunology.

admin Publications inflammatory bowel disease
Read >>>

Address and contact details

Facebook | Twitter

  • iconiconFacebook
  • iconiconTwitter
  • iconiconRSS
  • Home
  • Cookies
  • Contact

© 2022 Av Blasco Ibáñez 15-17. 46010 València. Spain. Tel (+34) 96 386 46 24