We just published “Metabolomics as a Promising Resource Identifying Potential Biomarkers for Inflammatory Bowel Disease”.
The García Blanco Medal Award recognizes the scientific career in the field of experimental medicine of our colleague.
Would you like to prepare your doctorate as a member of our research group?
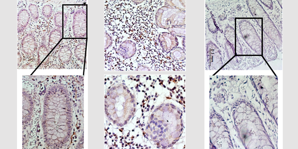
Results of our line of research on inflammatory bowel disease have been published in Mucosal Immunology.
The journal Inflammatory Bowel Diseases (Crohn’s & Colitis Foundation) has published a new article by our group.
Our colleague Laura Gisbert has just begun a 3-month stay in the laboratory of Dr. Anje te Velde, in Amsterdam.
