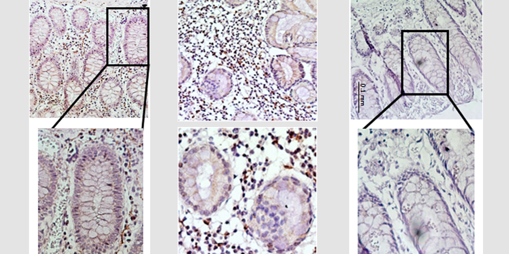
Our line of research about inflammatory bowel disease has published a new article in Mucosal Immunology entitled “Succinate receptor mediates intestinal inflammation and fibrosis”.
Our line of research about inflammatory bowel disease has published a new article in Mucosal Immunology entitled “Succinate receptor mediates intestinal inflammation and fibrosis”.
